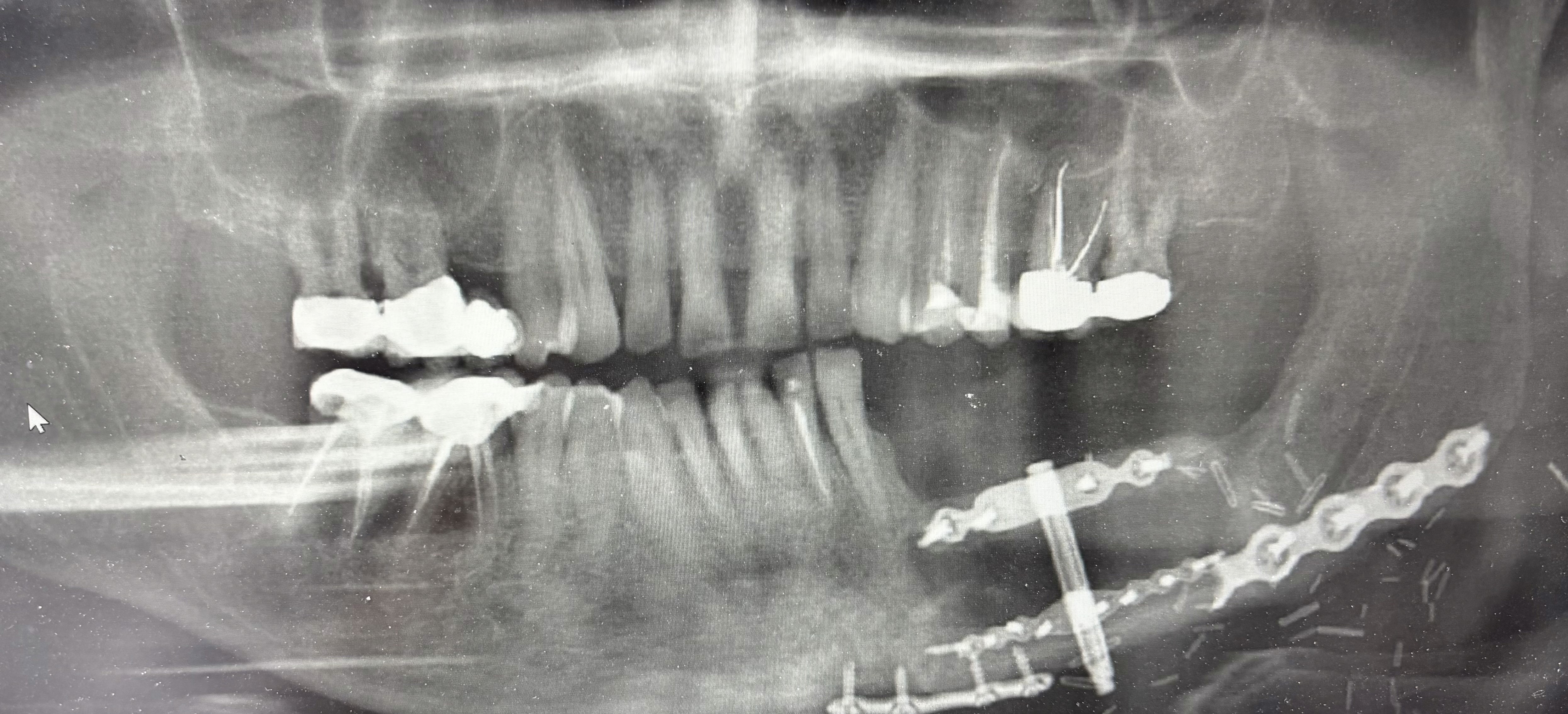
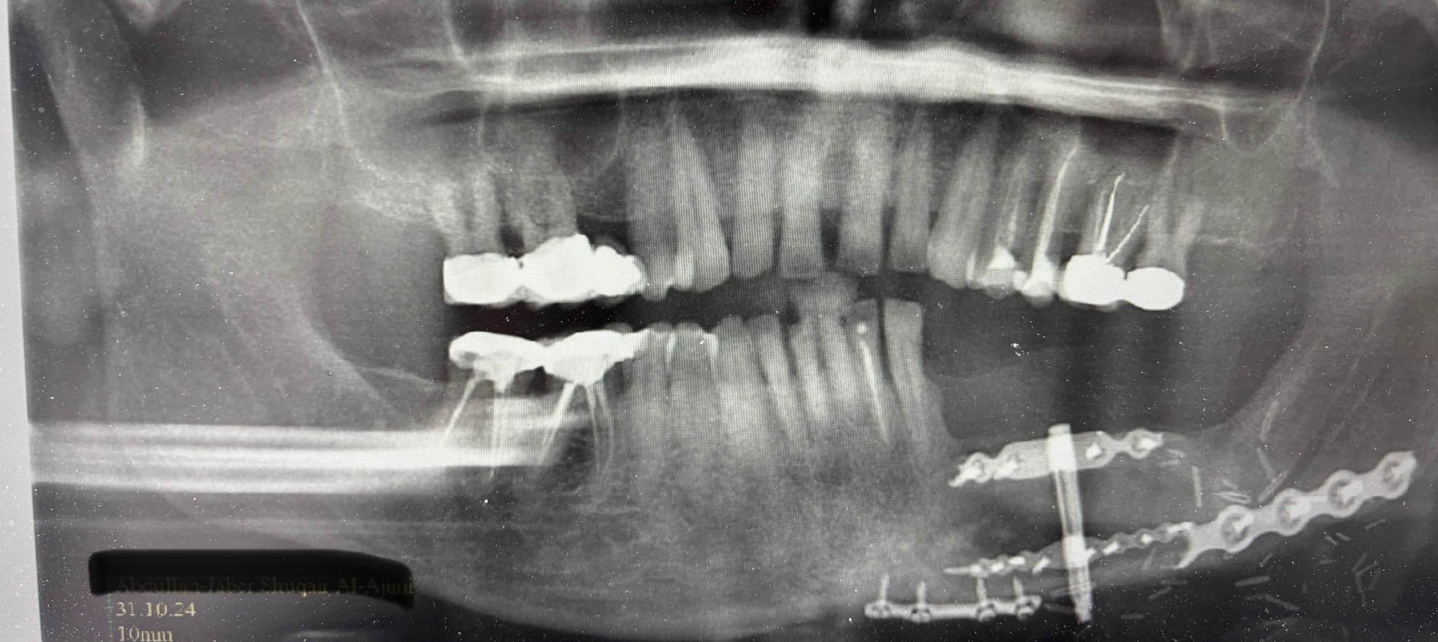
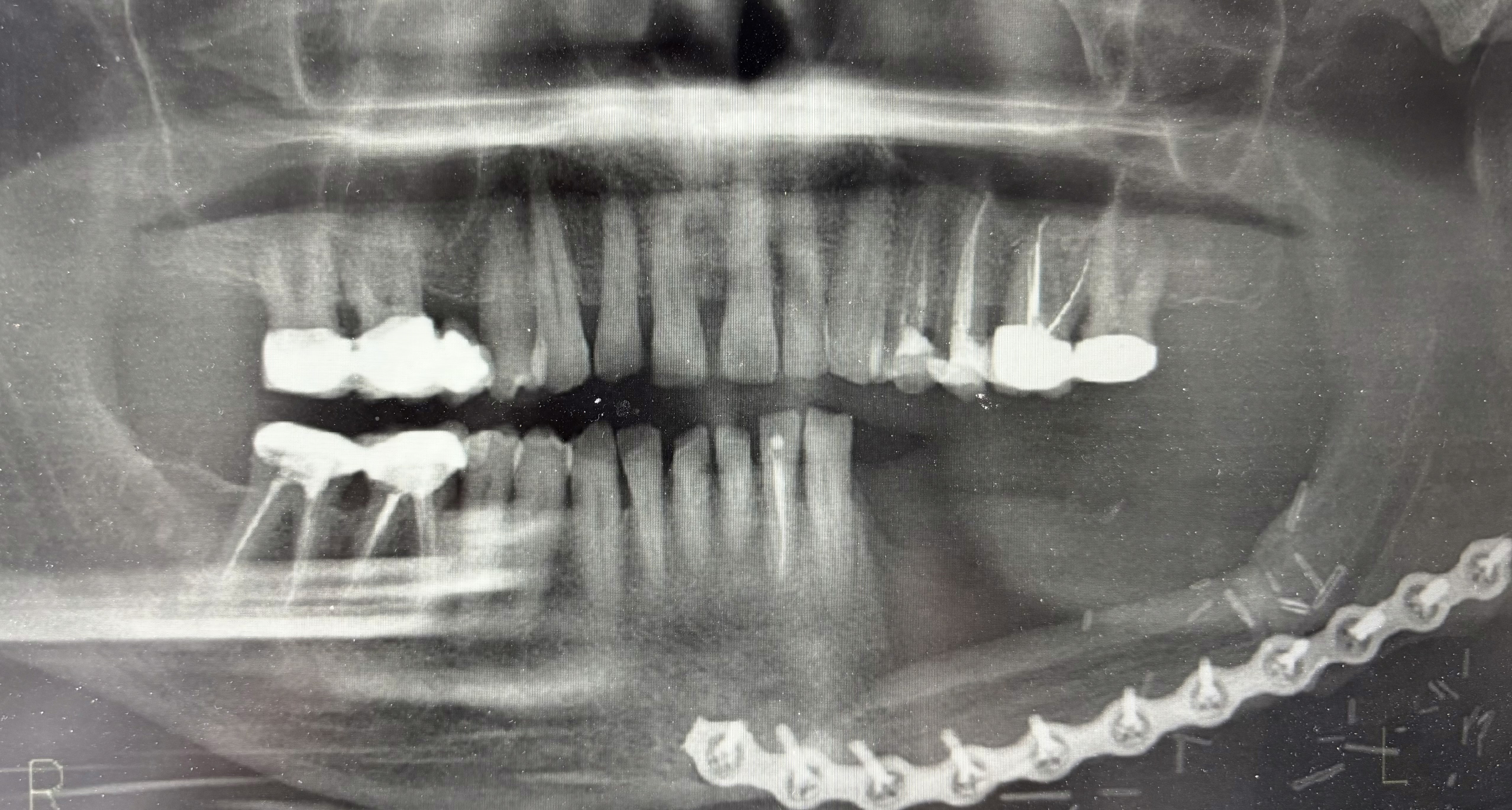
Insertion of distractor for placement of implants on a fibula flap post mandibula excision
Your modern
medical practice.
Whether addressing complex conditions or providing minimally invasive solutions, his decades of experience ensure the highest standard of care tailored to your needs.


